Header

What Is Teeth Protrusion? Signs, Risks, and When to See a Dentist

19 Mar, 2026
Teeth Protrusion

Have you ever looked in the mirror and felt your front teeth stick out more than they should? Maybe your lips feel tight when you close your mouth. Maybe photos make you feel self conscious. Teeth protrusion often starts quietly. Many people ignore it until chewing feels off or jaw pain shows up. 

Others notice it when upper front teeth extend outward more than expected. This guide explains what is happening, why it matters, and when dental care becomes necessary. Let us break it down, so you know what to do next.

What Is Teeth Protrusion?

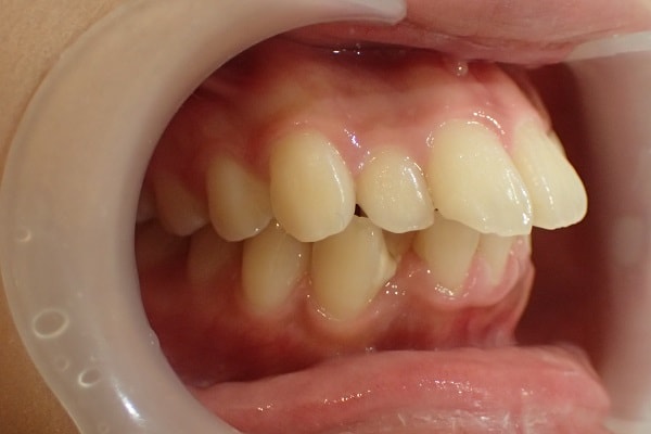
Teeth protrusion is a dental condition where the upper teeth or lower teeth shift forward compared to normal jaw alignment. In many cases, the upper front teeth extend outward, creating a visible gap between upper and lower jaw. People often call this buck teeth or protruding front teeth.

Dentists describe it as dental protrusion or protrusion of teeth. The issue can involve upper incisors, lower jaw position, or both. Sometimes teeth extend outward due to jaw development issues. Other times, constant pressure pushes teeth forward over years. This condition affects dental health, oral health, and daily comfort.

Common Signs of Teeth Protrusion

You may notice small changes first. Over time, signs become clearer.

  • Front teeth that protrude outward
  • Upper front teeth extend past lower teeth
  • Difficulty closing lips without muscle strain
  • Speech difficulties with certain sounds
  • Jaw pain or jaw issues during chewing
  • Teeth extend forward compared to face profile
  • Increased risk of damage to the front teeth
  • Self consciousness during smiling or talking

These protruding teeth problems often appear alongside improper bite alignment or jaw misalignment.

What Causes Teeth Protrusion?

Teeth Protrusion

Several factors push teeth forward. Genetics plays a big role. Jaw size, tooth size, and jaw development often run in families. Still, certain habits increase risk.

Common causes include:

  • Prolonged thumb sucking or prolonged pacifier use
  • Pacifier use or bottle feeding beyond early years
  • Tongue thrusting where a child pushes tongue forward
  • Nail biting and other childhood habits
  • Constant pressure from certain habits
  • Missing teeth that allow others to shift forward
  • Gum disease that weakens tooth support
  • Dental trauma affecting permanent teeth

These factors slowly change jaw alignment and proper alignment over time.

Risks of Leaving Teeth Protrusion Untreated

When left untreated, dental problems increase. Teeth that protrude outward face higher risk of injury. Sports accidents often cause chipped upper teeth. Cleaning becomes harder, so plaque buildup increases.

Possible health risks include:

  • Tooth decay and gum disease
  • Increased risk of dental trauma
  • Jaw pain and jaw issues from imbalance
  • Difficulty biting and chewing, which may affect digestion
  • Speech difficulties and pronunciation issues
  • Lower self esteem and emotional well being

Protruding teeth can also strain oral health and overall well being.

Teeth Protrusion in Children vs Adults

Children show early signs during jaw development. A child’s teeth respond faster to correction. Early orthodontic intervention helps guide jaw alignment and future smile growth. Children with protruding teeth also face higher risk of dental trauma during play.

Adults face slower movement. Permanent teeth need more time. Still, orthodontic treatment works well at any age. Adults often seek care due to jaw pain, misalignment issues, or confidence concerns. Both age groups benefit from preventing protruding teeth through timely care.

When Should You See a Dentist for Teeth Protrusion?

Teeth Protrusion

You should schedule a visit if you notice:

  • Upper front teeth extend far forward
  • Teeth shift forward over time
  • Jaw pain or jaw discomfort
  • Speech difficulties or chewing problems
  • A child’s teeth showing early protrusion signs

Regular dental checkups allow early detection. Early care often shortens treatment duration and protects dental health long term. Malocclusion, which includes protruded upper front teeth, affects about 39% to 93% of adolescents worldwide and ranks among the most common oral health issues after tooth decay and gum disease.

How Dentists Treat Teeth Protrusion

Dentists choose treatment options based on severity. Mild cases differ from severe protrusion.

Treatment Option When It Is Used
Traditional braces Moderate to severe cases including buck teeth
Metal brackets Reliable option for full correction
Ceramic braces Same function with lower visibility
Clear aligners Mild to moderate cases, discreet option
Functional appliances Guide jaw growth in children
Tooth extraction Overcrowding cases
Dental bonding Cosmetic reshaping of front teeth
Orthognathic surgery Severe cases with jaw misalignment

Braces apply steady pressure to fix protruding teeth. Braces remain one of the most effective solutions and usually last 18 months to 3 years. Invisalign treatment typically lasts 12 to 18 months. Retainers follow treatment to prevent teeth from shifting back.

How Our Dental Team Helps With Teeth Protrusion

Teeth Protrusion

At Dante Gonzales Orthodontics, we approach teeth protrusion treatment with care and clarity. We assess jaw alignment, bite pattern, and dental condition before planning care. Our orthodontic care focuses on comfort, function, and a confident smile.

We offer:

  • Clear aligners and traditional braces
  • Ceramic braces and metal brackets
  • Functional appliances for children
  • Support through every treatment phase

Our goal stays simple. Improve oral health, support jaw alignment, and help patients achieve a straighter smile and improved oral health.

Final Thoughts 

Teeth protrusion affects more than appearance. It influences dental health, comfort, speech, and self confidence. Protruding teeth often cause chewing issues, jaw pain, and increased risk of injury when left untreated. Early care protects your future smile and overall well being.

We believe every patient deserves clear guidance and effective orthodontic care. If you notice protruding teeth, discomfort, or bite problems, take the next step today. Connect with Dante Gonzales Orthodontics to explore treatment options and personalized care. 

Schedule a consultation or book your appointment with our orthodontist today to start building a healthier, beautiful smile.

Frequently Asked Questions (FAQs)

Protruding teeth rarely correct on their own. As jaw development finishes, teeth stay in position. Without orthodontic treatment, teeth often shift further forward, increasing dental problems and health risks.
Yes. Prolonged thumb sucking, pacifier use, tongue thrusting, and bottle feeding create constant pressure. Over time, these habits push teeth forward and affect jaw alignment.
No. Treatment options include clear aligners, ceramic braces, functional appliances, dental bonding, and surgery in severe cases. Dentists choose based on severity and jaw structure.
Yes. Improper bite alignment strains jaw muscles. Over time, this imbalance leads to jaw pain, jaw issues, and chewing discomfort.
Yes. Correcting protruding front teeth improves speech, comfort, oral health, and self esteem. Many patients feel more confident after achieving proper alignment and a straighter smile.
Footer